Welcome To Centre for Neuro-Oncologic & Spine Surgery
Excellence in Brain and Spine Care.
Why Choose CNS?
We offer reliable, expert care with a patient-centered approach, delivering comprehensive, multidisciplinary services tailored to each individual’s needs.
Services
Emergency and elective brain and spine surgery.
Procedures
We offer brain and spine surgical procedures
About Us
The Centre For Neuro-Oncologic and Spine Surgery (CNS) is a Gaborone-based Neurosurgical practice providing expert care for a wide scope of emergency and elective services. We have a special interest in minimally invasive brain tumor surgery and spine surgery.
-
Neurosurgeon
Dr. B. A. Kgaodi is a neurosurgeon with subspecialty fellowship training in Spine surgery and a special interest in endoscopic pituitary surgery.
-
Memberships
He is a member of the Botswana surgical society as well as the Society of Neurosurgeons of South Africa (SNAA), AO Spine and the South African Spine Society (SASS).
Services
We have a special interest in minimally invasive brain tumor surgery and spine surgery.
Procedures
We offer procedures like Endoscopic procedures including endonasal pituitary surgery (ETSS) and endoscopic third ventriculostomy (ETV), External ventricular drain as well as ventriculoperitoneal shunts
Patient Experiences
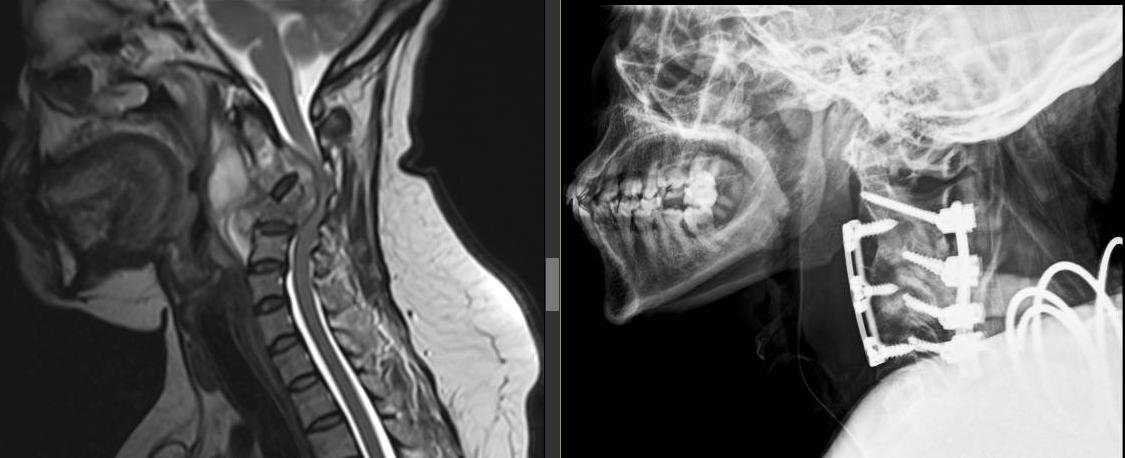
Very highly professional, friendly, and exceptional at their work. A truly 5-star experience. I am now recovering very well following my cervical surgery performed by Dr. Kgaodi.
I will always be grateful for the life-saving medical intervention I received. I was diagnosed with a pituitary tumor requiring urgent surgery. Since the surgery, I rarely experience headaches.
The nurses were welcoming and attentive. Medication and assistance were always on time. Dr. Kgaodi was very supportive and visited frequently. My stay was exceptional.
From January to March 2026, I received excellent care throughout my journey. The staff were attentive, procedures clearly explained, and everything handled professionally.
Appointment
Make an appointment today!
Frequently Asked Questions
Neurosurgery FAQs – Endoscopic Pituitary Surgery | Spine Surgery | Brain & Spine Tumours
What is endoscopic pituitary surgery?
Endoscopic pituitary surgery is a minimally invasive technique used to remove pituitary tumors through the nose using a thin camera called an endoscope. It avoids external incisions and generally allows for quicker recovery and fewer complications.
What are the symptoms of a pituitary tumor?
Symptoms can include headaches, vision disturbances, fatigue, weight changes, menstrual irregularities, low libido, and hormonal imbalances. Some tumors are found incidentally or during evaluation for hormone-related issues.
How long is the recovery from endoscopic pituitary surgery?
Most patients stay in the hospital for 1–2 days and resume light activities within a week. Full recovery can take several weeks. We will closely monitor your healing, hormone levels, and post-op imaging.
Will I need hormone replacement after pituitary surgery?
In some cases, especially if the surgery impacts hormone-producing areas of the pituitary. Our team works closely with endocrinologists to assess hormone function and provide appropriate therapy if needed.
Is endoscopic pituitary surgery safe?
Yes. When performed by an experienced team, it is very safe. Potential risks like cerebrospinal fluid leaks, temporary hormonal shifts, or nasal bleeding are uncommon and usually well-managed.
When is spine surgery necessary?
Surgery is considered when conservative measures fail or if there’s significant nerve/spinal cord compression causing symptoms such as pain, weakness, numbness, or bowel/bladder changes.
What spine conditions do you treat?
We treat:
- Herniated and degenerative discs
- Spinal tumors
- Spinal stenosis
- Spondylolisthesis
- Vertebral fractures
- Spinal cord compression
What is minimally invasive spine surgery (MISS)?
MISS involves smaller incisions, minimal tissue disruption, and advanced tools to access the spine. It typically results in faster recovery, less post-op pain, and shorter hospital stays.
What is recovery like after spine surgery?
Many patients walk within 1–2 days. Recovery depends on the procedure but may include physical therapy. Return to work or full activity ranges from weeks to months, depending on your condition and lifestyle.
What are the risks of spine surgery?
Complications are rare but may include bleeding, infection, nerve injury, or persistent symptoms. Careful planning and modern techniques help minimize these risks significantly.
What are the symptoms of a brain tumor?
Symptoms depend on tumor location and may include headaches, seizures, visual or speech issues, weakness, or cognitive changes. Some tumors are detected incidentally on brain scans.
Are all brain or spinal tumors cancerous?
No. Many are benign but still need treatment due to pressure on surrounding structures. Malignant tumors grow faster and may spread. Early diagnosis and treatment are key for both.
How are brain or spine tumors diagnosed?
Diagnosis typically involves neurological exams and imaging like MRI or CT scans. In certain cases, a biopsy is needed to determine the tumor type and guide treatment.
What are the treatment options for brain or spinal tumors?
Depending on the case, options include:
- Surgical removal
- Radiation therapy
- Chemotherapy
- Observation with serial imaging
Is surgery for brain or spinal tumors safe?
Modern surgical techniques such as microsurgery, image guidance, and intraoperative monitoring have made brain and spine tumor surgery significantly safer. Every case is carefully evaluated to balance benefit and risk.
Gallery
Contact
How To Reach Us
Location
Life Gaborone Private Hospital
Plot 8448,
Segoditshane Road, Mica Way, Gaborone
Call Us
+267 73 194 239
WhatsApp Us
Email Us
info@cns.co.bw
